Zahraničné

Žene (60) našli v tele 36-ročnú kostru dieťaťa

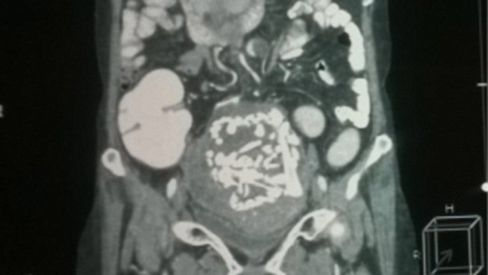
kostra2.jpg

Pacientka sa sťažovala na veľké bolesti brucha. Lekári po vyšetreniach neverili vlastným očiam.

V mestskej nemocnici v Indii mal tím lekárov naozaj unikátny prípad. Obyvateľku Indie, Thakre (60) trápili už dlhšie bolesti brucha. Keď však zašla k lekárovi, nikto neveril vlastným očiam. V jej brušnej dutine našli 36-rokov starú kostru dieťaťa.

Ako sa tam dostala?Kantabai Thakre, z Indie otehotnela, keď mala 24 rokov. Písal sa rok 1978 a lekári jej vtedy oznámili, že jej dieťa má len malú šancu na prežitie. Rástlo totiž mimo maternice. Vydesená matka však pred operáciou utiekla. O 37 rokov neskôr však Kantabai zažívala nesmierne bolesti brucha.

Kantabai Gunvant Thakre našli po ultrazvuku v jej brušnej dutine. Zprvu si mysleli, že je to rakovina. Po opakovaných vyšetreniach ich však výsledok vyviedol z miery. 



"Po tom, čo pacient podstúpil vyšetrenie magnetickou rezonanciou, lekári usúdili, že ide o kostru dieťata," hovorí Dr. Murtaza Akhtar, vedúci chirurgie v Indickej nemocnici.

Tím lekárov hľadal lekársku literatúru o podobných prípadoch. Zistili, že neznáma žena z Belgicka mala v tele zvyšky dieťaťa takmer 18 rokov. Ide teda o jediný prípad, kedy bolo dieťa takú dlhú dobu v tele matky.

"Požiadali sme o podrobnú anamnézu. Samotná pacientka nám neskôr povedal, že v roku 1978 bola tehotná a mala nejaké komplikácie," povedal Dr BS Geda, ktorý viedol tím lekárov.

Operáciu lekári vykonali 14. augusta, trvala štyri hodiny. Podľa lekárov sa pacientka rýchlo zotavuje.

INDIA/Daily Mail, md
Voyo

Sledujte Televízne noviny vo full HD a bez reklám na Voyo

NAJČÍTANEJŠIE ČLÁNKY

Dôležité udalosti